+49 176 68001260
Sofia Business Park, Bulgarije
info@sofiaimplantcentre.com
Sofia Implant Centre
  • Home
  • EEN TOPTEAM DAT JE LAAT GLIMLACHEN!
  • Diensten
  • FAQ
  • BELANGRIJK!
  • Contact
  • English
  • Français
  • Deutsch
  • Ελληνικα
  • Italiano
  • Español
  • Български
  • Nederlands
Home Planning Tandheelkundige implantaten plannen CBCT (3D) scan – Waarom is het belangrijk?
21mrt

Tandheelkundige implantaten plannen CBCT (3D) scan – Waarom is het belangrijk?

by кристина

Geen plan maken is hetzelfde als plannen om te falen. Slechte planning is de grootste factor voor complicaties in het behandelingsproces.

In dit artikel leert u welke belangrijke vragen u moet stellen en welke specifieke informatie u moet verkrijgen voordat u kiest waar u zich laat behandelen. Wij laten u kennismaken met de belangrijkste stap in het planningsproces voor implantaten, zodat u goed geïnformeerd bent over wat u kunt verwachten.

Наскоро имахме случай с пациент, който се е беше върнал от Турция – търсеше помощ, но се наложи да му откажем и сега ще ви разкажа защо. Ondanks dat hij wanhopig op zoek was naar hulp, moesten wij hem helaas afwijzen. Hier is waarom: de röntgenfoto van de patiënt toonde een implantaat dat de sinus was binnengedrongen. Dit was een duidelijk teken dat het implantaat was geplaatst in een gecompromitteerde positie waar het kaakbot erg dun is – blijkbaar zonder adequate planning of een 3D-scan. Zulke gevallen zijn er helaas ook! Daarom moet u ervoor zorgen dat u wordt onderzocht met een 3D-scan en dat de chirurg de scan met u bespreekt. Dit is een must! Dit is immers het belangrijkste onderzoek vóór de operatie en u hebt het recht om er alles over te weten!

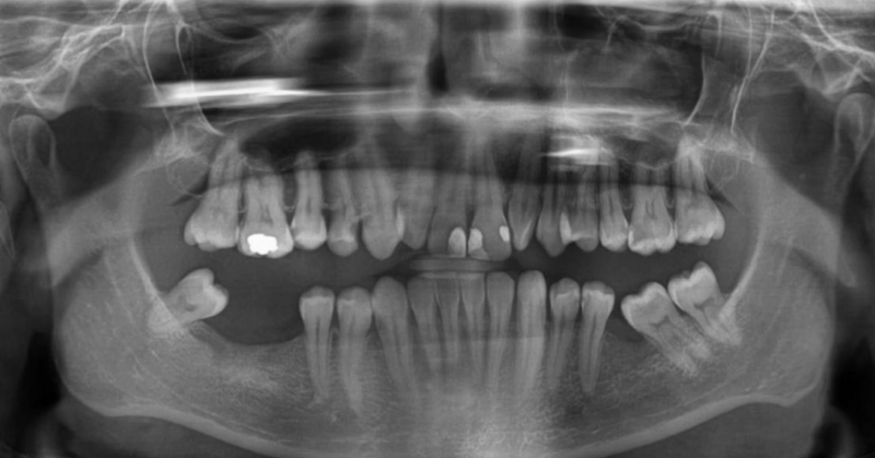
Hoe wordt een implantaatoperatie goed gepland? Het begint allemaal met een onderzoek ter plaatse en een röntgenfoto – dit is het eerste onderzoek dat algemene informatie geeft over het geval van de patiënt en de aan- of afwezigheid van voldoende kaakbot voor implantatie. Hier is een voorbeeld van een panorama(röntgen)foto:

Hoewel de röntgenfoto een goed hulpmiddel is om een algemeen beeld te krijgen van de situatie van de patiënt, is deze helaas niet voldoende voor een definitieve conclusie over de aanwezigheid van voldoende bot voor implantatie. De 3D-scan (CBCT) is echter een driedimensionaal röntgenonderzoek en vereist meer geavanceerde apparatuur. De kosten van de apparatuur zijn aanzienlijk en vaak wordt deze als externe dienst aangeboden, omdat niet elke kliniek zich dit kan veroorloven.

Een 3D-scan is de enige test die 100% duidelijkheid geeft over het volume van uw kaakbot – alleen met een 3D-scan kan de chirurg objectief beslissen waar en welk type implantaat precies geplaatst moet worden. Let Op! Als de 3D-scan buiten de kliniek wordt gemaakt, duurt het meestal langer om het resultaat te ontvangen en te analyseren. Het gebruik van de 3D scan is een absolute must. Vraag daarom altijd om de scan met de chirurg te bespreken.

Het aflezen van de beelden opgenomen met de 3D scan worden met speciale software door de chirurg uitgelezen en beoordeeld. In onze kliniek gebeurt dit regelmatig en is dit een standaard praktijk voor ons. Besluiten wat we kunnen doen is een enorme verantwoordelijkheid en deze moet serieus genomen worden omdat elke patiën uniek is. Puntje bij paaltje is dit het belangijkste onderzoek wat gedaan moet worden en u hebt het recht om er alles over te weten.

Heeft u vragen, wilt u een persoonlijke prijsopgave ontvangen of een persoonlijk behandelsplan inzien?

Vraag een gesprek aan

    user-3

    email-2

    smartphone

    Ik gebruik WhatsApp

    Ontvang vandaag nog een persoonlijk behandelplan!

    Gergana Bogaerts, Tandheelkundig adviseur
    NL Tel: +31 6 4995 7951
    Whatsapp: wa.me/31649957951
    Rezeption +359 895 750 539
    informatie@sofiaimplantcentre.com


    gerelateerde posts en video’s:

    TANDHEELKUNDIGE IMPLANTATEN: HOE FOUTEN TE VOORKOME BIJ HET KIEZEN VAN EEN KLINIEK?

    Welke kwaliteit u kunt verwachten van het Sofia Implant Centre. Gebruikte materialen, service & arbeidsstandaarden.

    Zijn tandheelkundige implantaten geschikt voor mij?

    Hoe kunt u de beste implantaten op de markt selecteren?

    CBCT (3D) scan – waarom belangrijk?

    Tandextractie en het plaatsen van implantaten

    Implantaten en een tekort aan bot

    Wat is all-on-4/all-on-6 complete gebitsrestauratie?

    De 3 belangrijkste zaken bij het plaatsen van een all-on-4/6 implantatie protocol.

    ZIRCONIUM en… zirconium

    Waarom de moderne tandlaboratoria zo belangrijk zijn

    Geleide chirurgie voor tandheelkundige implantaten: waarom belangrijk?

    Tags
    • 3D-scan
    Categories:
    Categories
    • Planning
    • Tandheelkundige chirurgie
    • Tandheelkundige implantaten

    Bericht navigatie

    Previous Post Tandextractie en het plaatsen van implantaten
    Next Post Hoe kunt u de beste implantaten op de markt selecteren?
    • Nederlands
      • English
      • Français
      • Deutsch
      • Ελληνικα
      • Italiano
      • Español
      • Български

    Request a call:

      right-arrow

      Most important

      TANDHEELKUNDIGE IMPLANTATEN: HOE FOUTEN TE VOORKOMEN BIJ HET KIEZEN VAN EEN KLINIEK?

      maart 28, 2022

      Most important

      Categories

      • ALL-ON-4/6 (14)
      • Geen onderdeel van een categorie (3)
      • Kronen en materialen (6)
      • Nieuws (1)
      • Onze patiënten (1)
      • Planning (16)
      • Tandheelkundige chirurgie (13)
      • Tandheelkundige implantaten (19)

      Tags

      3D-scan 3D tandheelkundige prints All-on-4 all-on-6 Chirurgische sjablonen voor de tandheelkunde e.max gezichtsboog Het ontbreken van voldoende bot Jdental Kiesextractie Kronen van Zirkonium Neodent Straumann Tandextractie Tandheelkundige implantaten Tandheelkundige implantaten tandheelkundig laboratorium Zahnimplantate Zirkonia

      Search

      Vraag een gesprek aan:

        right-arrow

        Onze contactgegevens

        • Sofia Implant Centre
          251G Ring Road, Sofia 1715, Bulgarije
          Zie de route op de map
        • +49 176 68001260
        • info@sofiaimplantcentre.com

        Copyright © 2025 Sofia Implant Centre    |   Privacybeleid