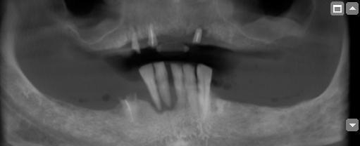
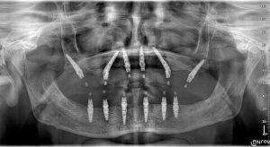
Ο D-r Rafid Hussain, επικεφαλής χειρουργός οδοντικών εμφυτευμάτων στο Κέντρο Εμφυτευμάτων της Σόφιας, πραγματοποίησε πρόσφατα την πρώτη χειρουργική επέμβαση με πτερυγοειδή εμφυτεύματα στη Βουλγαρία. Αυτό κατέστη δυνατό χάρη στη χρήση χειρουργικών οδηγών και καινοτόμων ψηφιακών πρωτοκόλλων, τα οποία επέτρεψαν την τοποθέτηση οδοντικών εμφυτευμάτων στο πτερυγοειδές οστό με εξειρετική ακρίβεια, παρέχοντας ασφαλή βάση για μια αποκατάσταση πλήρους τόξου με βάση 6 εμφυτεύματα (ALL-ON-6).
Ο ασθενής μας, ένας άνδρας 62 ετών, παρουσίασε σημαντική απώλεια οστικής πυκνότητας στην άνω γνάθο του λόγω προχωρημένης περιοδοντικής νόσου.


Οι παραδοσιακές λύσεις με εμφυτεύματα δεν ήταν εφικτές λόγω της έλλειψης επαρκούς οστικής πυκνότητας και όγκου στην πληγείσα περιοχή. Τότε ήταν που αποφασίσαμε να εξετάσουμε τη θεραπεία με πτεροειδή εμφυτεύματα, χρησιμοποιώντας χειρουργικούς οδηγούς για να εξασφαλίσουμε τη βέλτιστη τοποθέτηση και ακρίβεια.
Η θεραπεία με πτερυγοειδη εμφυτεύματα είναι μια πρωτοποριακή διαδικασία που περιλαμβάνει την τοποθέτηση οδοντικών εμφυτευμάτων στο πτερυγοειδές οστό, το οποίο βρίσκεται πίσω από την άνω γνάθο, παρέχοντας μια βιώσιμη λύση για ασθενείς με σοβαρή οστική απώλεια στην άνω γνάθο, οι οποίοι διαφορετικά δεν θα ήταν κατάλληλοι για θεραπεία με οδοντικά εμφυτεύματα. Επιλέξαμε τα εμφυτεύματα JDPterygo από την JDentalcare, Ιταλία.



Εκτός αυτού, χρησιμοποιήσαμε εμφυτεύματα JDnasal στη ρινική περιοχή:






Η χρήση χειρουργικών οδηγών εξασφάλισε την επιτυχία της επέμβασης, με τον ασθενή να είναι πλέον σε θέση να απολαμβάνει ένα πλήρες σετ ακίνητων δοντιών, προσφέροντάς του αυξημένη λειτουργικότητα, άνεση και αυτοπεποίθηση.
Στο Κέντρο Εμφυτευμάτων της Σόφιας, δεσμευόμαστε να είμαστε στην αιχμή της τεχνολογίας και των θεραπειών οδοντικών εμφυτευμάτων, χρησιμοποιώντας τις πιο μοντέρνες και προηγμένες τεχνικές για να προσφέρουμε τα καλύτερα δυνατά αποτελέσματα για τους ασθενείς μας. Η χρήση χειρουργικών οδηγών (κάντε κλικ εδώ για να διαβάσετε περισσότερα) είναι μόνο ένα παράδειγμα της αφοσίωσής μας στην ακρίβεια και την καινοτομία στην οδοντική εμφυτευματολογία.
Εάν εσείς ή ένα αγαπημένο σας πρόσωπο πάσχετε από σημαντική απώλεια οστού στην άνω γνάθο και αναζητάτε μια βιώσιμη λύση για την αποκατάσταση του χαμόγελου σας, επικοινωνήστε σήμερα με το Κέντρο Εμφυτευμάτων της Σόφιας για να προγραμματίσετε μια επίσκεψη. Αφήστε μας να σας βοηθήσουμε να αποκτήσετε ένα όμορφο, υγιές και πλήρως λειτουργικό χαμόγελο με τις προηγμένες λύσεις οδοντικών εμφυτευμάτων και την τεχνολογία των χειρουργικών οδηγών μας.

Προσφορά περιορισμένου χρόνου 2450 ΕΥΡΩ!
Για ερωτήσεις, μεμονωμένες τιμές και προετοιμασία ενός δωρεάν σχεδίου θεραπείας, επικοινωνήστε με την
|  | Lina Temelkova Consultant Greece & Cyprus |
Στα επόμενα άρθρα θα σας δώσω κάποιες συμβουλές”σχετικά με:
Πώς να μην κάνετε λάθος όταν επιλέγετε μια κλινική για οδοντικά εμφυτεύματα;
Τι μπορείτε να περιμένετε από το Sofia Implant Center; Υλικά, υπηρεσίες, πρότυπα εργασίας.
ΤΙ ΕΙΝΑΙ ΤΟ ΟΔΟΝΤΙΚΟ ΕΜΦΥΤΕΥΜΑ;
Είναι τα οδοντικά εμφυτεύματα κατάλληλα για μένα;
Πώς να επιλέξετε τα καλύτερα εμφυτεύματα της αγοράς;
Σχεδιασμός τοποθέτησης οδοντικών εμφυτευμάτων Αξονική τομογραφία κωνικής δέσμης – Γιατί είναι σημαντική;
Εξαγωγή δοντιών και τοποθέτηση εμφυτευμάτων
Εμφυτεύματα και έλλειψη οστού
Τι είναι η πλήρης οδοντική αποκατάσταση All-on-4 και All-on-6;
Τα τρία σημαντικότερα πράγματα που πρέπει να γίνουν για την επιτυχή καθιέρωση της μεθόδου all on for ή all 6;
Ζιρκόνιο και… ζιρκόνιο
Γιατί χρειάζεται ένα σύγχρονο οδοντιατρικό εργαστήριο;
Χειρουργικοί οδηγοί για οδοντικά εμφυτεύματα – γιατί είναι σημαντικό;
Γιατί είναι σημαντικό το διαβατήριο εμφυτεύματος;
Αντιγραφήτου δαγκώματος για πλήρεις οδοντικές αποκαταστάσεις