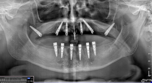
D-r Rafid Hussain, the head dental implant surgeon at Sofia Implant Centre, recently performed the first-ever pterygoid implant surgery in Bulgaria. This achievement follows the trans-sinus surgery recently performed by D-r Hussain and the team of Sofia Implant Centre. This all was made possible through the use of surgical guides and innovative digital protocols, which allowed for highly precise placement of dental implants in the pterygoid bone, providing a secure foundation for a full-arch restoration based on 6 implants (ALL-ON-6).
Our patient, a 62-year-old male, presented with a significant loss of bone density in his upper jaw due to advanced periodontal disease.


Traditional implant solutions were not feasible due to the lack of sufficient bone density and volume in the affected area. That is when we decided to consider the pterygoid implant procedure, utilizing surgical guides to ensure optimal placement and precision.

The pterygoid implant procedure is a groundbreaking procedure which involves placing dental implants in the pterygoid bone, located behind the maxilla, providing a viable solution for patients with severe bone loss in the upper jaw, who would otherwise be ineligible for dental implant treatment. We chose JDPterygo implants from JDentalcare, Italy.



Besides that we used JDnasal implants in the nasal area:






Our use of surgical guides ensured that the procedure was successful, with the patient now able to enjoy a full set of fixed teeth, providing him with increased function, comfort, and confidence.

At Sofia Implant Centre, we are committed to staying at the forefront of dental implant technology and treatments, utilizing the latest and most advanced techniques to provide the best possible outcomes for our patients. Our use of surgical guides (click here to read more) is just one example of our dedication to precision and innovation in dental implantology.
If you or a loved one are suffering from significant bone loss in the upper jaw and are looking for a viable solution to restore your smile, contact Sofia Implant Centre today to schedule a consultation. Let us help you achieve a beautiful, healthy, and fully functional smile with our advanced dental implant protocols and surgical guide technology.
ALL-ON-4 (one jaw) – 12 fixed teeth on 4 implants in 3-5 days. The £2490 includes: 3D scan, extractions (if needed), 4 Italian-made implants (lifetime guarantee), non-removable temporary teeth, permanent teeth, control X-rays, etc.
*Limited time offer!
Get your free individual treatment plan today!
Related posts and videos:
DENTAL IMPLANTS: HOW TO AVOID MAKING A MISTAKE WHEN CHOOSING A CLINIC?
What quality to expect from Sofia Implant Centre. Materials used, services & work standards.
Are dental implants right for me?
How to choose the best implants on the market?
CBCT (3D) Scan – Why Is It Important?
Extraction of teeth and placement of implants
Implants and lack of jawbone
What is All-on-4 and All-on-6 complete dental restoration?
The three most important things for successful treatment by the ALL-ON-4/6 protocol?
ZIRCONIUM and … zirconium.
Why the modern dental laboratory is so important?
Surgical guides for dental implants – why is it so important?