Les patients sont souvent troublés par le volume des informations sur Internet concernant la restauration dentaire complète. Par conséquent, dans cet article, nous noterons les trois éléments primordiaux pour garantir un traitement réussi.
1. Le scanner 3D !
C’est la seule étude qui donne une idée claire de la position et de la taille correctes des implants. Par conséquent, assurez-vous de demander à votre chirurgien un commentaire sur votre scanner 3D. Pour plus de détails cliquez ici.
2. La structure temporaire ! 
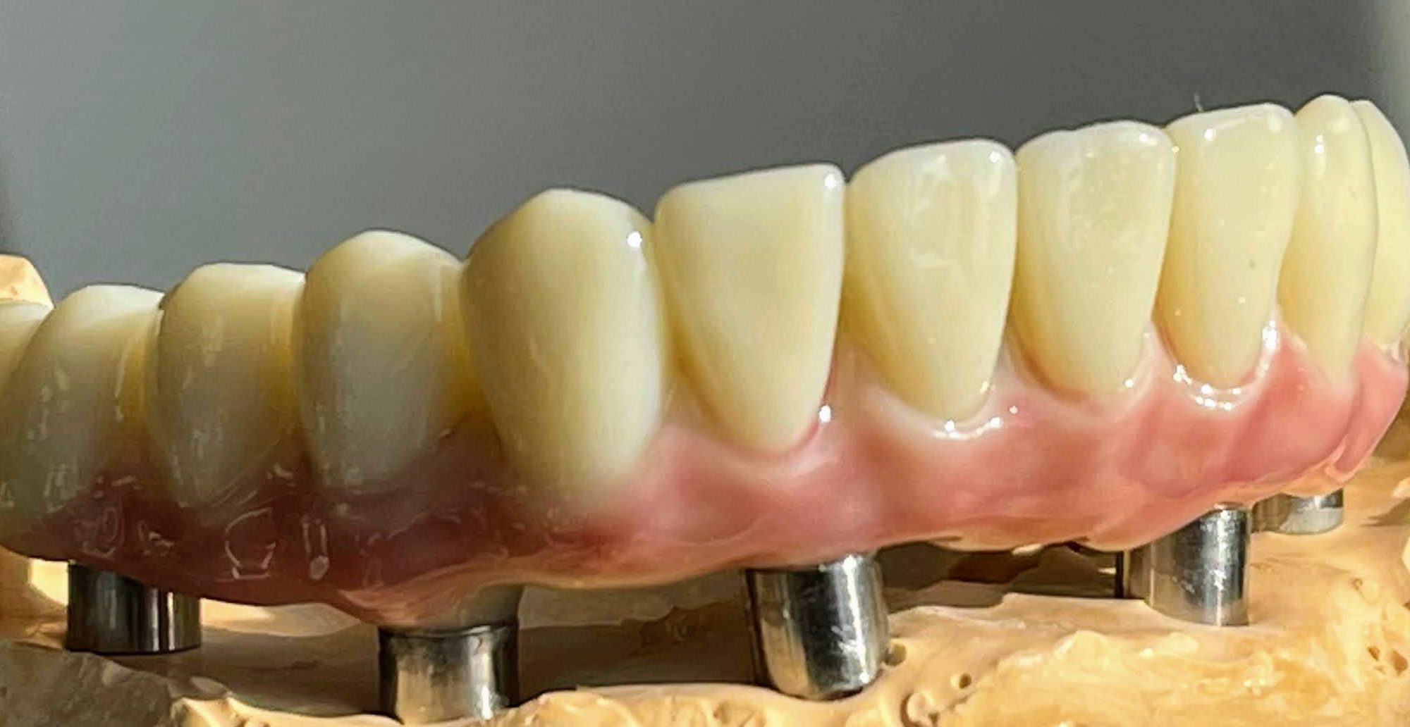
La structure temporaire est fixée de la même manière que la structure finale de la prothèse. Elle est nécessaire le temps que vos gencives se remettent de l’opération – environ 6 mois. Après cette période, la prothèse temporaire est remplacée par une prothèse définitive, souvent constituée d’un autre matériau (tel que le zircone) qui s’adapte exactement aux gencives restaurées. Ainsi, il n’y aura pas de trou entre la prothèse et la gencive. La construction provisoire vient en 2ème position, car nous avons vu des cas chez des patients où cette étape avait été sautée.
3.
Le guide chirurgical ! ! Il s’utilise pendant la chirurgie. Sans entrer dans les détails dans cet article, c’est le moyen d’éviter les erreurs humaines lors de la pose de l’implant dentaire. Pour plus de détails cliquez ici.
N’hésitez pas à nous contacter pour discuter de votre plan de traitement individuel.
Obtenez votre plan de traitement individuel gratuit aujourd’hui !